Pôle Chirurgie Orthopédique
Clinique Saint Faron | Nord Seine et Marne
 
Grande rue Charles De Gaulle, 77100 Mareuil-lès-Meaux
 
Pôle Chirurgie Orthopédique
Clinique Saint Faron | Nord Seine et Marne

Chirurgie de l'arthrose en Nord Seine et Marne | Clinique Saint Faron

Chirurgie de l'arthrose : généralités

L'arthrose est une maladie du cartilage articulaire qui s'altère et finit par disparaître. Élément qui recouvre les os au niveau des articulation, il permet la mobilité articulaire par glissement des deux surfaces articulaires l'une sur l'autre. Sa disparition entraîne une altération de la mobilité articulaire qui devient limitée, douloureuse, avec déformation de l'articulation.

Le diagnostic est :

  • Clinique : déformation, augmentation de volume articulaire, douleurs mécaniques (à la marche ou au mouvement) ou inflammatoires (réveils nocturnes), raideur articulaire, boiterie si membre inférieur
  • Radiologique : le cartilage n'étant pas visible à la radiologie, il existe normalement un espace entre les deux os qui se regardent au niveau de l'articulation. Quand l'arthrose évolue, le cartilage disparaissant, cet espace diminue et au maximum les os se touchent (pincement articulaire radiologique) 

radiographie du genou : arthrose visible grâce au "pincement articulaire" entre fémur (en haut) et tibia (en bas), avec ostéophytes ("becs de Perroquet")

 

  • Autres examens radiologiques : scanner articulaire (Arthro-TDM), IRM, Scintigraphie osseuse, TEP-Scan etc...

 

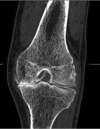
Scanner articulaire (Arthro-TDM) : pincement articulaire asymétrique entre fémur (en haut) et tibia (en bas), et contact os sur os témoignant de la disparition du cartilage au niveau du compartiment interne, mais pas externe ou le cartilage et le ménisque sont préservés)

L'origine est

  • soit primitive : pas de cause connue autre que de l'usure simple. Cette forme est la plus fréquente et est volontiers familiale.
  • soit secondaire : séquelle de traumatisme (répétés : hyper sollicitation sportive ou professionnelle / à distance d'une fracture articulaire, d'une ou plusieurs entorses graves,  ou d'une ou plusieurs luxations ), de déformation constitutionnelle des os avoisinants (dysplasies ou autres), séquelles d'infection articulaire, de maladies inflammatoires (chondrocalcinose articulaire, goutte, arthrites etc;)...

Il n'existe pas à l'heure actuelle de traitement spécifique de l'arthrose : la traitement consiste à lutter contre les symptômes de l'arthrose (traitement dit symptomatique).

On peut utiliser des médicaments antalgiques, des médicaments anti-inflammatoires (en comprimés ou par infiltrations intra articulaires), de l'exercice physique et de la rééducation, le port d'attelles etc.

Quand les traitements précédents ne sont plus efficaces, une chirurgie peut être envisagée

Elle consiste à restaurer une mobilité articulaire indolore :

  • par simple lavage (sous arthroscopie), mobilisation (arthrolyse)
  • par ré orientations du squelette de part ou d'autre de l'articulation (ostéotomies) en cas d'arthrose secondaire avec dysplasie ou déformation du squelette  

Arthrose interne du genou sur déformation du squelette en genu varum / 

Traitement chirurgical côté gauche dans un premier temps par ré-axation grâce à une ostéotomie tibiale de valgisation

  • par changement des surfaces articulaires (pose de prothèse articulaire : arthroplastie)

arthrose interne du genou sans déformation osseuse du squelette : traitement chirurgical par pose de prothèse partielle (Prothèse Unicompartimentaire Interne)

  • par blocage de l'articulation (arthrodèse)

Arthrose de cheville post traumatique (séquelle d'entorses à répétition), traitée par blocage articulaire (arthrodèse)

Création et référencement du site par Simplébo Simplébo

Connexion